Le patologie endodontiche sono causate da una infezione della polpa dentale.
Polpa dentale necrotica a seguito di frattura dentale
I denti sono elementi vitali e vengono naturalmente nutriti attraverso l’apporto ematico fornito dai vasi della polpa,nella stessa sono presenti anche delle terminazioni nervose che possono causare dolore in corso di pulpite.
Reazione periapicale in corso di ascesso facciale
La pulpite può essere causata da differenti fattori, tra questi il più frequente è quello traumatico,
in caso di frattura dell’elemento dentale con esposizione della polpa si ha una contaminazione della stessa da parte dei germi normalmente presenti in cavità orale.
Questa infezione esita sempre in necrosi pulpare con coinvolgimento secondario delle strutture ossee chiamate periapicali in quanto vicine all’apice della radice ed al suo delta che è una struttura formata da piccoli canali nei quali passano i vasi ed i nervi pulpari.
Questa infezione viene chiamata reazione periapicale ed è visibile radiograficamente.
Lesione paro-endodontale
La pulpite può determinarsi anche a seguito di un processo carioso che si approfondisce nella dentina oppure in seguito alla progressione della malattia parodontale che distruggendo l’osso alveolare può arrivare ad infettare la polpa progredendo attraverso il legamento parodontale.
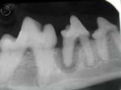
Lesione cariosa che si approfondisce nella polpa dentale
Per la cura delle lesioni endodontiche sono disponibili diversi trattamenti: estrazione dell’ elemento dentale , terapia canalare ,apicectomia.
La scelta del trattamento più idoneo al caso specifico è influenzata dalla possibilità di effettuare trattamenti più conservativi(terapia canalare,apicectomia),piuttosto che l’estrazione dentale.
